Aktywne Wpisy

klintoniusz +76
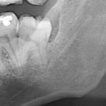
Idę dziś po pracy do chirurga stomatologa usunąć ósemkę. Pierwsze rwanie stałego zęba w życiu. Dajcie kilka plusów na odwagę ( ͡° ͜ʖ ͡°) W sumie to bym jej nie usuwał, bo sama w sobie nie przeszkadza, ale zrobił się nad jej częścią kaptur dziąsłowy, co powoduje częste stany zapalne. Pocieszam się, patrząc na zdjęcie, że robota raczej nie będzie skomplikowana, jak w przypadkach gdzie ząb jest zupełnie
źródło: 1000006183
Pobierz
lowcapierdow +481
źródło: temp_file8049393263094150250
Pobierz




Też macie takiego buga na stacjach, że na GPS zmienia kolor na biały? Mam najnowszą wersję gry, promodsa PL rebuilding i rusmapa
źródło: Zdjęcie z biblioteki
PobierzKomentarz usunięty przez autora