Aktywne Wpisy

Lolenson1888 +591
To jest najlepszy gif w historii polskiego internetu, deal with it.
Bodajże kabarety w Opolu 2006, Janusz z wąsem nie wyrabiający ze śmiechu na pierwszym planie. Syn, znajomy albo jeszcze ktoś inny obok buja się do przodu i w tył tak jak on. W lewym górnym rogu gość niczym z ruskiej mafii wypuszcza dym z papierosa z wyrazem twarzy zażenowania miejscem, w którym się znalazł. Całość dopełnia logo TVP1.
#polska
Bodajże kabarety w Opolu 2006, Janusz z wąsem nie wyrabiający ze śmiechu na pierwszym planie. Syn, znajomy albo jeszcze ktoś inny obok buja się do przodu i w tył tak jak on. W lewym górnym rogu gość niczym z ruskiej mafii wypuszcza dym z papierosa z wyrazem twarzy zażenowania miejscem, w którym się znalazł. Całość dopełnia logo TVP1.
#polska
źródło: temp_file4898143627314889059
Pobierz
ibleedforyou +3
Moglibyście być z osobą z którą nie macie wspólnych tematów, mało piszecie ze soba a na żywo głównie jest cisza? xd





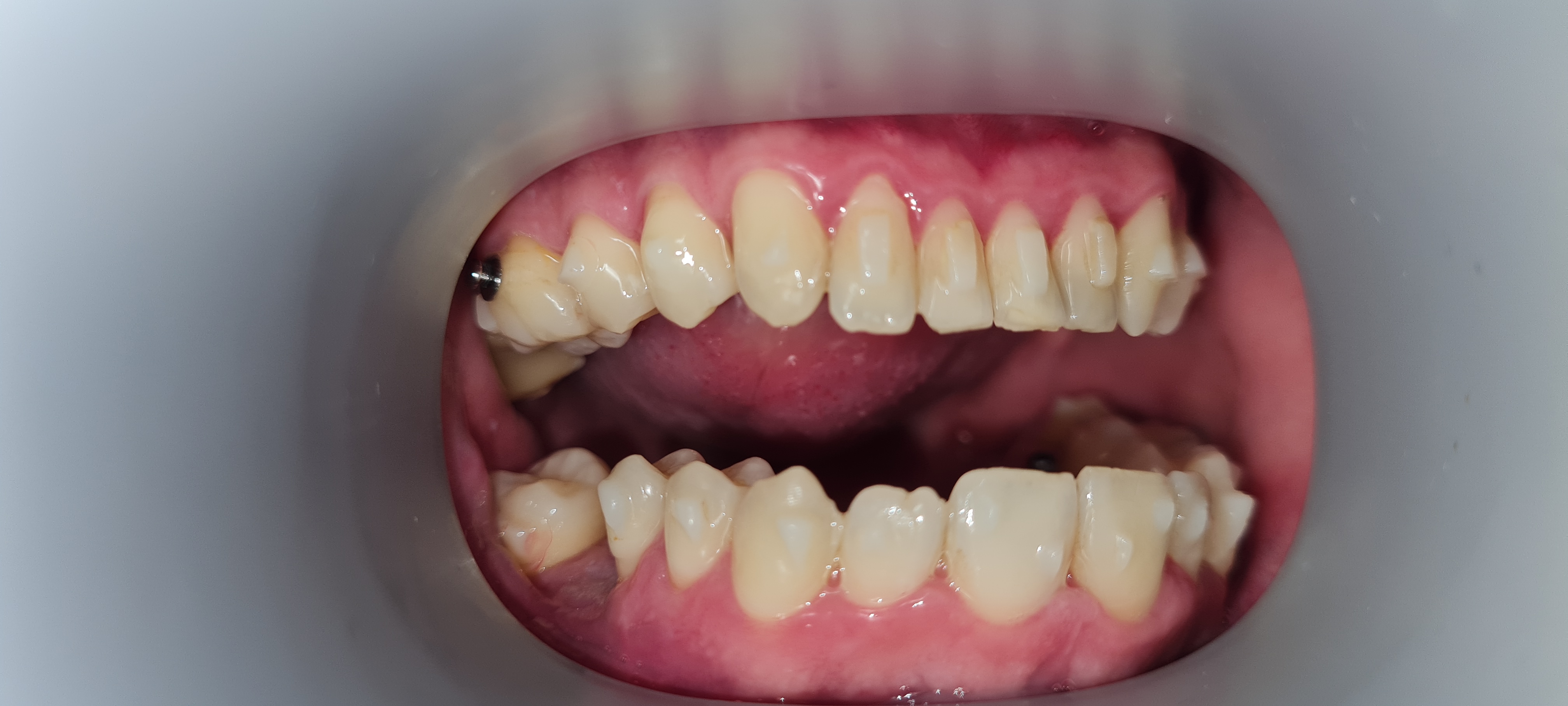
Po leczeniu nakładkami invisalign, będę zakładał korony na wszystkich zębach. Słyszałem, że po koronach nie będę musiał nosić retencji. Czy ktoś może się wypowiedzieć na ten temat?
#stomatologia #dentysta #invisalign #ortodoncja #protetyka
źródło: 20240115_114041
Pobierzdla mnie (nie jestem stomatologiem, ale raczej 99% stomatologów powie to samo) z tego co tu widać zakładanie koron na wszystkie zęby zakwalifikował bym do kategorii "samookaleczanie bez powodu". weź to jeszcze przekonsultuj zanim podejmiesz nieodwracalną decyzję która raz że będzie